奥林巴斯Olympus CKX53具有成像质量高、易于操作的特点,对于诸多细胞培养需求,例如活细胞观测、细胞取样和处理、图像捕捉以及荧光观测来说,奥林巴斯Olympus CKX53可以提供稳定的性能并且提高细胞培养过程的效率。 获得高清晰度、重现性好、高对比图、宽视野的图像,奥林巴斯CKX53的长寿命LED和iPC系统让这一切成为了可能。此外,新开发的反向对比(IVC)技术可以提供清晰的三维视图。由于奥林巴斯CKX53的小尺寸和轻量化设计,它的工作台环境干净清洁,可以提供更容易、更有效的细胞取样过程。面向用户的设计理念和简单的操作和手动阶段,能够最大限度地提高性能和可用性。
使用集成相衬(iPC)系统实现快速高效的细胞观察
奥林巴斯CKX53 iPC系统的高衬度特点能够以4x、10x、20x、和40x 倍率获得清晰观察效果,无需使用者对环状光阑进行更换或重新对中。 全新的相衬系统有助于实现简单高效的细胞观察,从而让工作流程更快更舒适。

利用2X物镜和FN22获得清晰宽广的观察视野
PLN2X物镜的环状光阑CKX3-SLPAS拥有22mm的视场,直径11mm。 由此,使用该物镜观察能够完美高效地筛选所感兴趣的细胞,获得更快的细胞培养过程。 该2X物镜与其他物镜相比具有明显更高的对比度,甚至能够让样本中的透明目标获得清晰识别。 例如,在观察96孔微孔板时,宽广的视野在无需移动载物台情况下即可观察一个孔内的所有细胞。

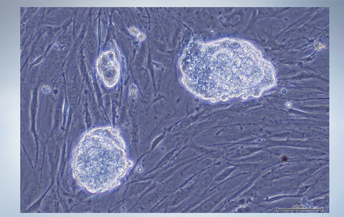
利用 “反转对比” (IVC)技术实现3D观察
采用这种全新开发的IVC技术,视场深度比相衬系统的深度更窄,这让其能够绘制任意形状或透明度目标的清晰三维图像。 此外,IVC观察还可获得无光晕或定向阴影的清晰观察效果,在观察过程中确保目标细节的完整性。
* 在这种新型IVC观察中使用10X物镜 (PLCN10X,CACHN10XIPC) 。




无菌条件下的高效细胞观察
CKX53设计用于配合洁净工作台使用。 这款具有抗紫外线涂层的显微镜在紫外线灭菌过程中可留置在洁净工作台上。 与此前的CKX型号相比,CKX53重量大约轻了7公斤,且占地空间更小,因此占用的实验室空间极小。 该显微镜仅用一只手就可轻松搬运,搬运时握持观察镜筒的颈部。 显微镜底座上配有滑动垫板,方便显微镜的定位。

方便在无菌工作台环境进行细胞采样
CKX53视点与光轴/聚焦旋钮之间更短的距离有助于保持自然的手部姿势,让聚焦和细胞采样更加轻松。

方便人性化操作的人体工学设计
无论采用站姿还是坐姿进行观察,45度角目镜和蝶形观察镜筒相对载物台的位置均可有助于获得符合人体工学设计的细胞观察效果。 无菌作业能够迅速开始和结束,最大限度缩短细胞在恒温箱外部的留置时间。
包括电源开关、粗细对焦、以及光路切换旋钮等所有控制部件的位置均符合人体工学设计,由此可提高操作性能,缓解用户疲劳。

可容纳各种细胞培养容器
CKX53的通用支架能够轻松实现对包括培养皿、微孔板和培养瓶在内各种容器内培养的细胞进行观察。 在使用选配支架时,载物台上最多可放置三个35mm的培养皿。 此外,无需支架即可对各种类型的微孔板进行操作处置。

实现对多层组织培养瓶更全面的观察
CKX53的宽度和方便拆卸的聚光镜让其能够对诸如高度最大190mm的多层组织培养瓶等容器进行观察。 PLCN4X物镜优良的焦深能够实现对多层组织培养瓶内的两个下层快捷方便的细胞观察。

可使用多种器皿的灵活性
支架臂杆能够升起,因此使用者可手动调节细胞培养容器的位置。 此外,载物台还可向左向右延长最大70mm,方便获得更大的操作灵活性。

利用各种荧光染料获得清晰观察
利用CKX53标配荧光观察组件,在诸如100 W汞灯 (U-LH100HG)、130 W高压汞灯(U-HGLGPS)、以及第三方LED等各种集成光源的辅助下可清晰观察到微弱的荧光信号*。 反射镜单元滑块上的三个槽可安装与IX3和BX3显微镜相同型号的反射镜。
*某些地区不提供。

明亮条件下的高对比度
“Umbra遮光罩”专为CKX53的荧光观察而特别设计。 该遮光罩能够有效阻挡室内光线,提高荧光对比度,并可在明亮条件下获得清晰的荧光观察效果。 在使用相衬时,Umbra遮光罩可升起,让光线通过照射到样本上。

观察方法 | 明场 |
暗场 | |
荧光(蓝/绿激发) | |
荧光(紫外激发) | |
光学系统 | 奥林巴斯UIS2无限远校正光学系统 |
照明装置 | LED照明光源 |
物镜转换器 | 标准型4孔物镜转盘 |
镜筒 | 宽视场(FN22)三目镜筒 |
载物台 | 机械平板载物台 |
聚光镜 | 手动超长工作距离聚光镜NA 0.3/ W.D. 72 mm (内置) |
物镜 | 平场消色差相差(2X,4XPH,10XPH,20XPH,40XPH) |
重量 | 约6.9kg |
外形尺寸 | 200 (宽) x 498 (长) x 454 (高) 毫米 (相衬入门配置) |
选配装置 | 专用35mm培养皿适配器,万能适配器,CKX53反相位观察环板,2倍物镜专用AS环板,CCD成像系统,荧光系统 |